首页
冶基骨科
整骨项目
产品介绍
中药基地
诊所风采
新闻动态
关于我们
联系我们
首页
冶基骨科
整骨项目
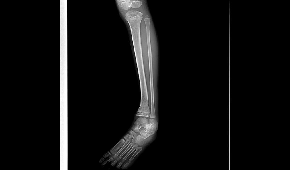
儿踝
儿踝
2017年8月10日 下午12:20
整骨项目
治疗前
治疗后
标签:
骨折
«
胫腓骨折
跖骨折
»
相关新闻
胫腓骨折
外科颈
肱骨外科颈骨折
尺桡骨折
锁骨折
跖骨折
联系我们
15314484299
在线咨询:
邮件:guandaojianghui@163.com
工作时间:周一至周日,6:30-18:30